3D-Diagnostik
3D-Diagnostik für präzise Operationen
Vor dem implantologischen Eingriff muss eine umfassende Diagnostik erfolgen, um gesicherte Informationen über die Knochenstruktur zu erhalten. Neben den klinischen Befunden ist Röntgen das wichtigste Entscheidungskriterium für eine Implantation.
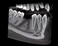
Die 3D-Diagnostik (Digitale Volumentomografie) ist die modernste und präziseste Röntgenmethode. Mit Hilfe der dreidimensionalen Darstellung der Kieferregion kann der optimale Implantationsort millimetergenau festgelegt werden.

Mit diesem 3D-Röntgengerät der neuesten Generation stellen wir unseren Patienten eines der modernsten diagnostischen und therapeutischen Verfahren zur Verfügung.
Die digitale Volumentomografie bietet nicht nur eine optimale und präzise Planung für Zahnimplantate, sondern ist darüber hinaus einzigartig in der diagnostischen Unterstützung bei allen größeren zahnärztlichen Eingriffen.
Für die Fachbereiche Kieferorthopädie und Kieferchirurgie bieten wir daher diese Leistung mittels Überweisung an.
Für die Fachbereiche Kieferorthopädie und Kieferchirurgie bieten wir daher diese Leistung mittels Überweisung an.
Bildqualität und Präzision

Mit seiner hohen Aufnahmequalität lassen sich auch feinste Strukturen in Knochen und Gewebe erkennen...

...und Implantate punktgenau und vorausschauend planen.

Egal ob in der Panorama-Aufnahme oder in einem dreidimensionalen Volumen, mit unserem neuen DVT sehen wir mehr und sparen Zeit bei der Befundung.
Mehr Sicherheit mit 3D
- Implantologie
- Oral- und MKG-Chirurgie
- Kieferorthopädie
- Allgemeine Zahnmedizin